LYNUS 5
Profesjonalne wsparcie dla lekarzy weterynarii
Wyjąkowy i precyzyjny
Zaawansowane Zastosowania
eBiopsy+
Obraz igły punkcyjnej jest wzmocniony przez odchylenie wiązki akustycznej, obejmujące wzmocnienie igły, renderowanie czerwonego końca igły, wirtualny przebieg igły oraz linię skali, wspierające automatyczne sterowanie.
Zakrzywione AM
Technologia krzywoliniowego M-Mode (CAM) umożliwia wyświetlanie wszystkich przestrzennych i czasowych relacji ruchów segmentów mięśnia sercowego podczas cyklu sercowego w sektorze skanowania. Zapewnia to nową metodę pomiaru do ilościowej analizy zaburzeń ruchów segmentów mięśnia sercowego podczas fazy skurczowej lub rozkurczowej.
Elastografia
Elastografia w czasie rzeczywistym to nowa nieinwazyjna i bezbolesna technika, która pomaga określić twardość organów oraz innych struktur takich jak piersi czy tarczyca. Obrazowanie elastyczne dostarcza użytkownikom dynamicznych informacji wizualnych i pokazuje sztywność organów, co jest pomocne w bezpośredniej i ilościowej diagnozie oraz leczeniu.
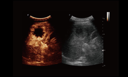
Obrazowanie kontrastowe
Technologia obrazowania ultrasonograficznego z inwersją impulsów i kontrastowaniem pozwala dokładnie wyodrębnić drugi harmoniczny kontrastowych mikropęcherzyków, co umożliwia uzyskanie obrazowania z wysokim stosunkiem kontrastu do tkanki oraz zapewnia bardziej szczegółową diagnozę kliniczną.
Panorama
Rozszerzone pole widzenia wyświetla więcej informacji obrazowych bez utraty jakości obrazu. Jest wygodnym podejściem do dużych organów, zwłaszcza struktur układu mięśniowo-szkieletowego. Posiada wskazania dotyczące kierunku i prędkości skanowania.
